PHA와 림프구 증식: 세포면역학의 출발점
발행: 2025-12-20 · 최종 업데이트: 2025-12-20
정상 림프구가 처음으로 실험실에서 증식한 순간과 PHA가 세포면역학의 시작이 된 과정을 살펴본다.

PHA와 림프구 증식: 세포면역학이 시작된 조용한 순간
이 글은 ‘면역학 고전’ 시리즈의 첫 번째 글입니다. 이 글은 Kendall Smith의 책과 youtube 내용을 근거로 순서를 정했으며, 실제로 중요한 의미를 가지는 논문을 선택했습니다.
이 시리즈는 오늘날 교과서에서 당연하게 받아들여지는 면역학 개념들이, 실제로는 어떤 우연과 관찰, 그리고 설명되지 못한 실험 결과에서 출발했는지를 되짚어보고자 합니다. 그 출발점으로, 정상 림프구가 처음으로 실험실에서 분열했던 순간을 살펴봅니다.
논문 속에서 설명되지 않는 물질, PHA
면역학 실험 논문을 읽다 보면 PHA(phytohemagglutinin)가 배양액에 첨가되는 장면을 자주 접하게 됩니다. 그러나 대부분의 논문에서는 이 물질을 왜 사용하는지에 대한 설명이 거의 없습니다. 이는 PHA의 역할이 면역학자들에게는 너무나 기본적인 전제로 받아들여지고 있기 때문입니다.
PHA는 면역학의 역사에서 LPS(lipopolysaccharide) 다음으로 중요한 실험 도구 가운데 하나로 평가됩니다. 특히 PHA는 T림프구를 증식시키는 것으로 확인된 최초의 물질이라는 점에서, 세포면역학의 출발을 가능하게 한 결정적 계기였습니다.
1960년 이전의 면역학: 세포는 보였지만, 기능은 보이지 않았다
1960년대 초반의 생물학 연구실은 오늘날과는 전혀 다른 환경이었습니다. 세포 배양 기술은 막 자리를 잡기 시작한 단계였고, 인간의 면역세포를 실험실에서 직접 배양하여 기능을 연구하는 일은 거의 불가능에 가까웠습니다.
당시 림프구는 현미경으로 보면 모두 비슷하게 보였으며, 분리 후 2~3일 이내에 사멸했기 때문에 지속적인 관찰 대상이 되지 못했습니다. 더 중요한 문제는, 림프구가 이미 분화가 끝난 세포이며 더 이상 증식하지 않는 세포로 여겨졌다는 점입니다.
이 시기의 과학자들에게 면역세포란, 몸속 어딘가에서 중요한 역할을 하고 있을 것이라 추정되지만 실험실에서는 실체를 확인하기 어려운 존재였습니다.
Peter Nowell과 정상 백혈구의 문제
이러한 시대적 배경 속에서 등장한 인물이 피터 노웰입니다. 그는 미국 펜실베이니아대학교에서 젊은 의과대학 교수로 재직하며, 당시로서는 이례적으로 암세포가 유전적 변화의 결과일 수 있다는 가설에 주목했습니다.
분자유전학이 아직 존재하지 않던 시절이었기 때문에, 그가 선택할 수 있는 방법은 염색체를 직접 관찰하는 것이었습니다. 실제로 그는 1961년 만성골수성백혈병 환자에서 크기가 다른 염색체를 처음으로 보고하였고, 이 염색체는 이후 필라델피아 염색체로 불리게 됩니다. 이 발견은 훗날 글리벡(imatinib) 개발로 이어지는 중요한 출발점이 되었습니다.
그러나 이 연구를 진행하기 위해서는 반드시 해결해야 할 문제가 있었습니다. 바로 정상인의 백혈구를 실험실에서 비교 대상으로 확보하는 방법이었습니다.
우연처럼 사용된 PHA
암환자의 백혈구는 이미 증식 능력을 가지고 있었기 때문에 비교적 다루기 쉬웠습니다. 반면 정상인의 백혈구는 증식하지도 않았고, 당시로서는 분리 방법도 확립되어 있지 않았습니다.
노웰은 정상 혈액에서 적혈구를 제거하기 위해, 당시 적혈구 응집을 유도하는 것으로 알려진 PHA를 사용했습니다. 적혈구를 가라앉히면 상대적으로 백혈구를 쉽게 분리할 수 있었기 때문입니다.
중요한 점은, 그는 이 물질이 림프구의 생리 기능에 영향을 미칠 것이라고는 전혀 기대하지 않았다는 사실입니다. PHA는 단지 실험을 편리하게 해 주는 도구에 불과했습니다.
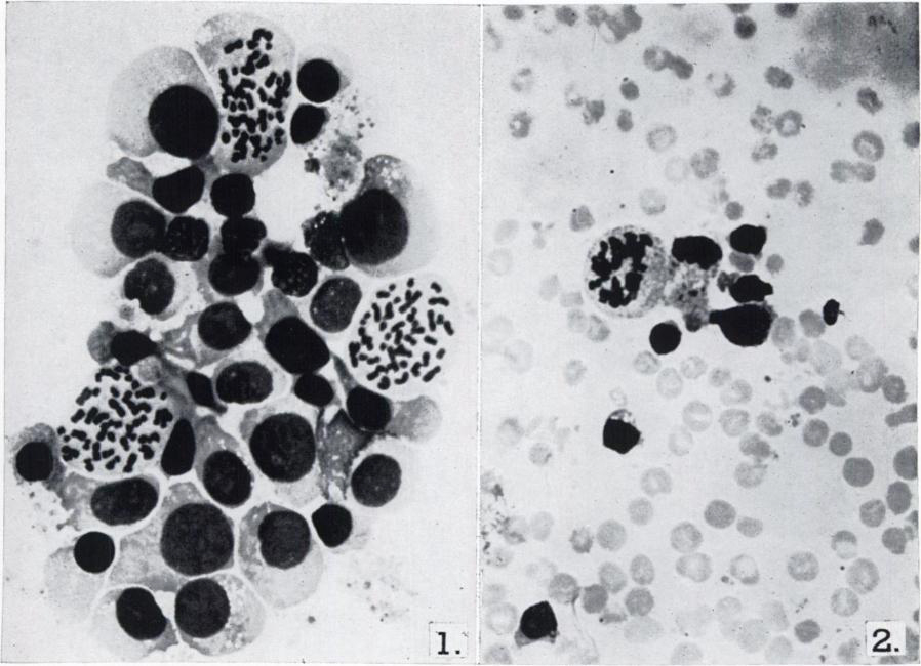
정상 림프구가 처음으로 분열한 순간
PHA로 처리한 정상 백혈구를 배양한 뒤, 노웰은 금요일에 세포를 냉장 보관하고 퇴근했습니다. 그리고 월요일 아침, 현미경을 들여다본 순간 그는 예상하지 못한 장면을 마주하게 됩니다.
암환자의 백혈구뿐 아니라 정상인의 백혈구에서도 증식이 일어난 것처럼 보였기 때문입니다. 그는 착각일 가능성을 배제하기 위해 반복 확인을 했고, 염색체 염색을 통해 실제로 유사분열 중인 세포를 관찰하는 데 성공했습니다.

정상 림프구가 실험실 환경에서 유사분열을 일으킨 사례는 그 이전까지 단 한 번도 보고된 적이 없었습니다. 이 조용한 관찰의 순간이, 결과적으로 현대 면역학의 문을 여는 계기가 되었습니다.
‘3일’이라는 시간의 의미
흥미로운 점은, PHA를 처리한 직후에는 아무런 변화가 관찰되지 않았다는 사실입니다. 림프구의 증식은 약 72시간이 지난 뒤에야 나타났습니다. 노웰 자신도 이 지연의 이유를 설명할 수 없었습니다.
오늘날 우리는 이 현상을 IL-2(interleukin-2)를 중심으로 이해합니다. PHA 자극을 받은 T림프구가 IL-2를 분비하고, 이 신호가 다시 T림프구에 작용하여 증식을 유도하기까지 시간이 필요했던 것입니다. 그러나 당시에는 IL-2라는 개념 자체가 존재하지 않았으며, 이 메커니즘이 밝혀지는 데에는 약 20년의 시간이 더 필요했습니다.
처음으로 드러난 ‘면역계의 언어’
오늘날 우리는 T세포 수용체 자극, IL-2 분비, 세포 증식이라는 흐름을 너무도 당연하게 받아들입니다. 그러나 1960년 당시에는 림프구가 자극에 반응하여 증식할 수 있다는 개념 자체가 존재하지 않았습니다.
노웰이 관찰한 것은 단순한 세포 분열이 아니라, 면역계가 신호를 주고받으며 반응한다는 사실이 처음으로 실험실에서 가시화된 순간이었습니다. 세포면역학의 언어가 인간에게 처음 모습을 드러낸 장면이라고 평가할 수 있습니다.
이 발견 이후 면역학은 ‘자극–증식–분화’라는 개념을 중심으로 재편되기 시작했으며, 이는 이후 IL-2, 클론 선택설, 세포 간 신호 전달이라는 또 다른 고전적 발견들로 이어집니다.
PHA가 남긴 또 하나의 유산: 정상 염색체 분석
PHA의 의미는 면역학에만 국한되지 않습니다. 이 발견은 세포유전학에도 결정적인 전환점을 제공했습니다.
오랫동안 인간의 염색체 수는 48개로 알려져 있었으며, 1956년에 46개라는 보고가 있었지만 정상 세포에서 안정적인 분열 중기 염색체를 얻는 것은 매우 어려웠습니다. 정상 림프구가 분열하지 않았기 때문입니다.
PHA 자극 후 약 3일이 지나면 정상 림프구가 일제히 유사분열에 진입하였고, 이를 통해 재현성 높은 중기 염색체를 확보할 수 있게 되었습니다. 이 방법은 이후 말초혈액을 이용한 염색체 분석의 표준이 되었으며, 오늘날까지 이어지는 PHA 3일 배양법의 출발점이 되었습니다.
면역학 고전은 이렇게 시작되었다
피터 노웰의 실험은 거대한 이론을 증명하려는 시도가 아니었습니다. 그는 다만 실험실에서 벌어진 현상을 부정하지 않고 끝까지 관찰했습니다.
이 사소한 사건은 면역학 분야로 한정한다면, 마치 인류의 역사에서 바퀴를 발명한 것과 거의 같은 수준의 영향을 미쳤습니다. 이 순간이 바로 세포면역학이라는 학문의 첫 페이지였습니다.
참고문헌 (References)
-
Nowell PC. Phytohemagglutinin: An initiator of mitosis in cultures of normal human leukocytes. Cancer Research. 1960. https://aacrjournals.org/cancerres/article/20/4/462/474488/Phytohemagglutinin-An-Initiator-of-Mitosis-in
-
Hungerford DA, Nowell PC. Chromosome studies on human leukemia. Journal of the National Cancer Institute. 1960. https://academic.oup.com/jnci/article-abstract/25/1/85/983122